674

Laser Treatment

DIODE LASERS IN DENTISTRY:

A Diode laser is a minimally invasive instrument which produces monochromatic light when activated. Prior to activation, the laser is not capable of cutting through tissue, but can be used in both contact and non-contact ways for the treatment of periodontal conditions.

A Diode laser is activated by burning articulating paper on the tip which causes the light energy to be absorbed by the burnt material on the tip, making it a hot piece of quartz. The activated laser is effective for a number of oral soft tissue procedures, such as frenectomies, gingivectomies and some biopsies.

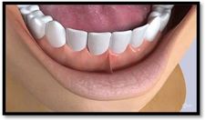
Frenectomy

2

A frenum is a little piece of soft tissue that connects our gum and lip line, most easily seen between the front lower and top teeth. We also have several other frenums in our mouths which can be seen when pulling the lips away from the gum, or when lifting the tongue.

A frenum is a little piece of soft tissue that connects our gum and lip line, most easily seen between the front lower and top teeth. We also have several other frenums in our mouths which can be seen when pulling the lips away from the gum, or when lifting the tongue. When a frenum is too big, causing obstruction of movement, gum recession or teeth to drift apart (diastema) it is referred to as an active frenum and it can be treated with a frenectomy procedure. An active frenum under the tongue can hinder speech and eating, and also causes a problem for suckling babies as they cannot use their tongues adequately to latch onto the feeding mother. Active frenums between the teeth can cause gingival recession, diastemas and hinder orthodontic work, thus patients are often referred for a frenectomy before orthodontic work may commence.

Although there are rare extreme cases which require surgical severing of the frenum attachment, in most cases the frenectomy can be done with a laser. By using a laser, the procedure is quick and painless, and the wound does not need sutures to be placed because the laser immediately seals off the wound. Post-operative discomfort is little to none and the wound heals extremely fast. A frenectomy can be done in the dental chair and takes around 20 – 30 minutes.

Gingivectomy

2

Do you have excess gum making your teeth look short, or an uneven gum line? This can be treated with a laser gingivectomy procedure. With this procedure, a laser is used to trim away excess gum and create an even, natural gum line.

By using a laser, the procedure is quick and painless, and the wounds do not need sutures to be placed because the laser immediately seals off the wounds. Post-operative discomfort is little to none and the wound heals extremely fast.


Treatment of major aphthous ulcers

2

Aphthous ulcers, otherwise known as aphthous stomatitis, is a common condition characterised by the recurring formation of benign and non-contagious mouth ulcers in healthy individuals. The cause of these ulcers is not completely understood, however there are different factors that trigger these ulcers, such as nutritional deficiencies, trauma, stress, hormonal influences, allergies; or can be due to a genetic disposition.

This condition is fairly common and affect approximately 20% of the population, heals between 7 and 10 days and can occur 3 – 6 times a year. The condition usually surfaces during childhood or adolescence and could continue for several years before gradually disappearing. There is currently no cure for aphthous ulcers, but treatment can manage pain, reduce healing time and frequency of ulceration episodes.

Low level laser therapy can alleviate pain and stimulate quicker resolution of the ulcers.